Buteyko légzés versus Wim Hof légzés

Örökzöld kérdés, amit rendszeresen megkapok: Buteyko légzés vagy Wim Hof légzés? Mi a különbség, ellentéte-e egymásnak a kettő? Melyik kinek való, és mikor? 2025 július elején vettem részt az erről szóló workshopon, ahol a Buteyko légzés oldaláról Lakatos Péter mester Buteyko instruktor adott elő, a Wim Hof légzésről szóló részt pedig Paksi András mutatta be. […]
Lefékez a nyelvféked?

Mi is az a nyelvfék, hol található? A nyelvfék a nyelvünk alsó oldalán található kis kötőszöveti szalag, ami a nyelvet a szájfenékhez rögzíti. Felmerülhet a kérdés, hogy akkor ez mindenkinek van? Alap esetben ez mindenkinél megtalálható, azonban a hossza és a rugalmasság már kritikus kérdések. A rövid nyelvfék, vagy lenőtt nyelvfék (vagy rugalmatlan/vastag nyelvfék) mozgásában […]
Myofunkcionális fogszabályozás lehetőségei a szájlégző gyerekeknél egy komplex terápiás folyamatban

A videóban a légzésszelidítés és a myofunkcionális fogszabályozás összefüggéseit tárgyalják szakemberek. Balogh Emese Viktória Légzésszelidítő légzéstréner és Dr. Vince Nóra fogszakorvos holisztikus megközelítéssel segítik a gyermekek egészségét a közös terápiás munka során. A helyes légzés és fogszabályozás együttműködése kulcsfontosságú a tartós eredmények elérésében. A légzés és a fogászat holisztikus megközelítése segíthet az emberek egészségi állapotának […]
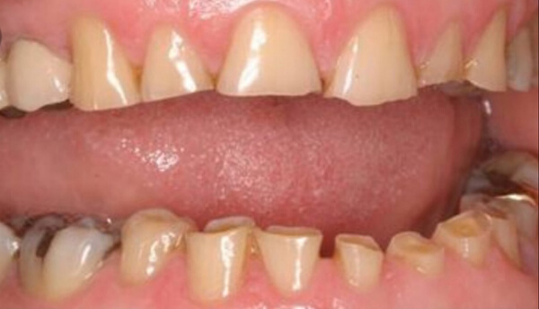
A fogcsikorgatás (bruxizmus) rejtett veszélyei és megoldási lehetőségei

Ha inkább meghallgatnád olvasás helyett, akkor ebben a videóban felolvasom a bejegyzést. 😊 https://youtu.be/y-AOU3T5M0s A fogcsikorgatás jelei, tünetei és felismerése A fogcsikorgatás, vagy bruxizmus, egy olyan állapot, amelyben az érintett önkéntelenül csikorgatja vagy összepréseli fogait. Ez a probléma sokszor észrevétlen marad, különösen, ha az éjszakai órákban jelentkezik. Fontos, hogy figyeljünk a jelekre, mivel a fogcsikorgatás […]
Hogyan válassz légzőgyakorlatot?

Hogyan válassz légzőgyakorlatot? Számos különböző légzőgyakorlat fellelhető az internet hatalmas kínálatában, de vajon melyik lesz a legalkalmasabb- de mire is? Fontos definiálni a problémát, majd pedig ehhez kapcsolódóan választani egy célt. Mit szeretnénk megvalósítani a légzőgyakorlatok segítségével? Többféle besorolása is létezhet a légzőgyakorlatoknak attól függően, hogy akár a jóga rendszerét vizsgáljuk (prájánáma), vagy akár a […]